
주사 없이 피부에 바르는 인슐린? '바르는 당뇨 치료제' 기술 개발 완성
매일 아침, 점심, 저녁 식사 전후로 바늘을 잡아야 하는 고통. 당뇨병 환자분들이라면 이 문장 하나만으로도 가슴이 먹먹해지실 겁니다. 저의 주변에도 당뇨병으로 힘들어하는 지인이 있는데, 하루에도 몇 번씩 인슐린 주사를 놓는 모습을 볼 때마다 마음이 아팠습니다. 바늘에 찔리는 통증은 물론이고, 주사기를 항상 소지하고 시간에 맞춰 투여해야 하는 불편함, 때로는 주사 자국이 남거나 감염 위험까지 걱정해야 하는 현실은 환자분들의 삶의 질을 크게 떨어뜨리는 요인이죠. 만약, 이런 모든 어려움을 단번에 해결해 줄 기적 같은 방법이 있다면 어떨까요? 마치 로션이나 연고를 바르듯 피부에 인슐린을 바르는 것만으로도 혈당이 조절되는 시대가 온다면 말입니다. 꿈같은 이야기 같지만, 최근 국제 학술지 네이처(Nature)에 발표된 놀라운 연구 결과가 이 꿈을 현실로 만들 수 있는 희망의 빛을 제시했습니다.
바늘 없는 세상, 바르는 인슐린 치료제의 꿈은 현실이 될까?
오랜 시간 동안 과학자들은 주사 없이 인슐린을 몸에 전달하기 위해 노력해왔습니다. 하지만 우리 피부의 견고한 장벽은 그 어떤 시도도 쉽게 허락하지 않았죠. 피부의 가장 바깥층인 각질층은 외부 유해 물질로부터 우리 몸을 보호하는 든든한 방패 역할을 합니다. 이 때문에 분자량이 작은 니코틴 패치 같은 약물은 피부를 통과할 수 있지만, 분자량이 약 5800에 달하는 인슐린 같은 큰 단백질은 이 장벽을 넘기가 거의 불가능하다고 여겨져 왔습니다. 기존에도 피부 투과를 돕기 위해 피부를 일시적으로 약하게 만들거나, 미세 바늘(마이크로니들), 초음파, 고압 분사 같은 물리적인 방법을 사용하기도 했습니다. 하지만 이러한 방법들은 피부에 미세한 손상을 줄 수 있어 감염의 위험이 있거나, 환자에게 또 다른 불편함을 안겨주는 한계가 명확했습니다.



pH의 마법: OP 폴리머, 피부 장벽을 허무는 열쇠
그런데 이번에 발표된 연구는 기존의 방식을 완전히 뒤엎는 혁신적인 접근법을 제시했습니다. 바로 피부 장벽을 스스로 통과할 수 있는 '스마트 분자'를 설계한 것입니다. 이 분자의 정식 명칭은 '폴리[2-(N-옥사이드-N,N-디메틸아미노)에틸 메타크릴레이트]'로, 연구팀은 이를 줄여 'OP 폴리머'라고 불렀습니다. 이 OP 폴리머의 비밀은 바로 'pH 변화에 따라 전하를 바꾸는 성질'에 있습니다. 우리 피부는 표면이 피지선과 땀샘 분비물 때문에 약산성(pH 5)을 띠고, 피부 속으로 깊이 들어갈수록 점차 중성(pH 7)에 가까워지는 pH 경사를 가지고 있습니다. OP 폴리머는 이 미묘한 pH 차이를 기가 막히게 활용합니다.
우선 산성인 피부 표면에 닿으면, OP 폴리머는 양전하(양이온)를 띠게 됩니다. 이 양전하를 띤 폴리머는 피부를 구성하는 지질 성분에 강하게 달라붙어 각질층의 미세한 틈새를 파고들기 시작합니다. 마치 끈끈이처럼 피부에 착 달라붙어 길을 찾는 것이죠. 일단 각질층을 통과하여 피부의 더 깊은 층으로 내려가면, 주변 환경은 서서히 중성으로 변합니다. 이때 OP 폴리머는 자신의 전하를 중성 상태(쌍성 이온 상태)로 바꿉니다. 전하가 중성으로 변하면 더 이상 지방 성분에 달라붙지 않고, 마치 미끄러지듯 피부 깊숙한 곳까지 자유롭게 확산될 수 있게 되는 것입니다. 피부 pH 변화에 반응하여 스스로 '변신'하며 침투력을 높이는 이 기발한 아이디어가 바로 바르는 인슐린의 핵심 기술입니다.



놀라운 효과와 안전성, 마우스와 미니피그 연구에서 입증된 가능성
연구팀은 이 OP 폴리머에 인슐린 분자를 화학적으로 결합시켜 '폴리머-인슐린 복합체(OP-I)'를 만들었습니다. 그리고 이 복합체를 크림 형태로 제조하여 제1형 당뇨를 유발한 마우스의 피부에 바르는 실험을 진행했습니다. 그야말로 폴리머가 기관차처럼 인슐린을 싣고 피부 장벽을 통과하여 혈관까지 안전하게 전달하는지 확인하는 과정이었죠. 실험 결과는 놀라웠습니다. OP 폴리머와 결합된 인슐린은 피부를 성공적으로 통과하여 혈액으로 유입되었고, 1시간여 만에 마우스의 혈당을 정상 수준으로 효과적으로 떨어뜨렸습니다. 이는 기존의 인슐린 주사와 거의 비슷한 혈당 강하 효과였습니다. 더욱 인상적인 것은 혈당 감소 효과가 무려 12시간 이상 유지되었다는 점입니다. 같은 양의 인슐린을 주사로 주입했을 때 약 4시간 정도만 효과가 지속되는 것에 비하면, 바르는 인슐린의 지속 시간이 훨씬 더 길었던 것입니다.
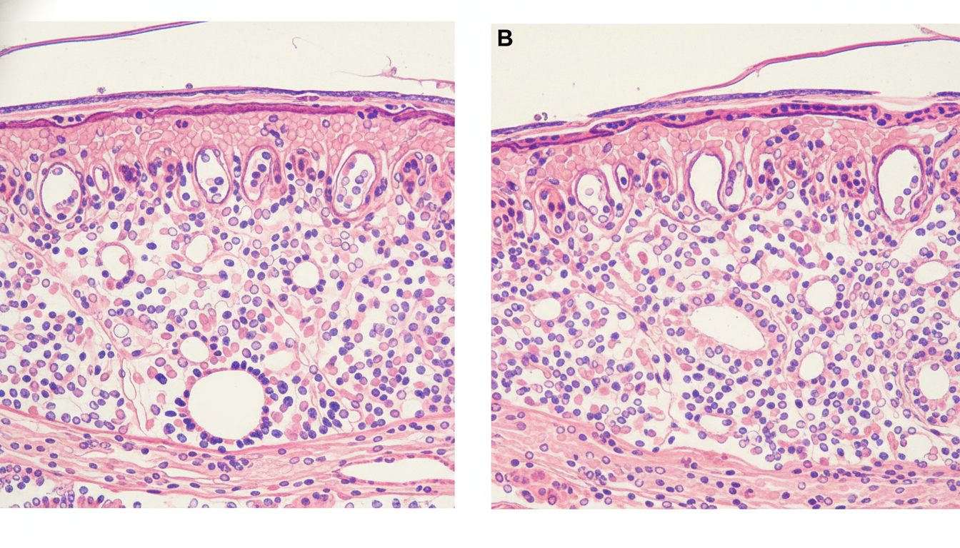
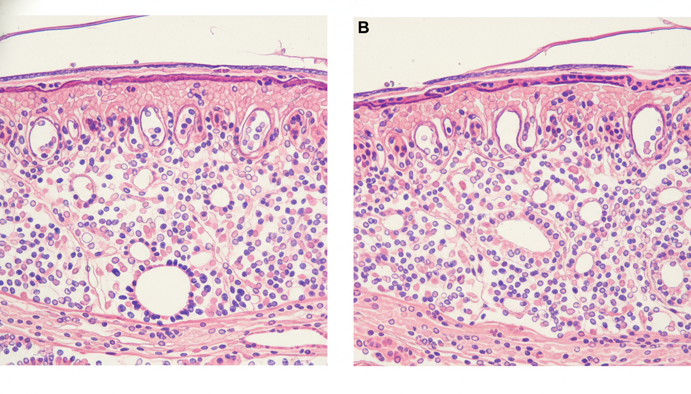
그렇다면 이렇게 고분자 물질이 피부를 통과하면서 부작용이나 피부 손상은 없었을까요? 연구팀은 이 부분을 검증하기 위해 마우스와 미니피그의 피부에 폴리머-인슐린 크림을 여러 차례 반복하여 바른 뒤 피부 조직을 정밀하게 관찰했습니다. 미니피그는 해부학적, 생리학적으로 인간의 피부와 매우 유사하기 때문에 피부 질환 및 약물 평가 연구에 자주 활용되는 중요한 모델 동물입니다. 관찰 결과, 피부 표면 각질층의 구조나 세포 사이 간격 등에서 폴리머-인슐린에 의한 어떠한 변화도 발견되지 않았습니다. 염증 반응이나 세포 손상 또한 전혀 나타나지 않았죠. 이는 OP 폴리머가 피부에 자극을 주지 않으면서도 인슐린을 비침습적으로 체내에 안전하게 전달할 수 있음을 명확히 보여주는 결과였습니다.



바르는 인슐린, 희망과 남은 숙제들
이 기술은 전 세계 수많은 당뇨병 환자들에게 진정한 희소식이 될 것입니다. 매일 주사하는 고통에서 벗어나 삶의 질을 혁신적으로 개선할 잠재력을 가지고 있기 때문입니다. 하지만 현실에서 환자들이 이 기술의 혜택을 온전히 누리기까지는 몇 가지 중요한 과제들이 남아 있습니다. 가장 먼저 사람을 대상으로 하는 엄격한 임상 시험을 통해 마우스와 미니피그에서 확인된 효과와 안전성이 인체에서도 재현되는지 확인해야 합니다. 인슐린은 수십 년간 투여해야 하는 약물이므로 장기간 반복 사용 시의 안전성 검증은 필수적입니다. 또한, 인슐린 투여량을 정교하게 조절하지 못하면 저혈당과 같은 심각한 부작용이 발생할 수 있습니다. 바르는 제형으로 주사만큼 정확하고 일정한 용량을 체내에 전달하는 기술적 난제 또한 풀어야 할 숙제로 남아 있습니다.



인슐린을 넘어, 다른 단백질 치료제로의 확장 가능성
그럼에도 불구하고 전문가들은 이 새로운 피부 투과 인슐린 기술이 당뇨 치료제 시장의 판도를 바꿀 잠재력이 충분하다고 평가합니다. 무엇보다 환자들이 통증과 불편함에서 해방될 수 있다는 점이 가장 큰 장점이며, 이 기술이 인슐린 이외의 다른 호르몬이나 단백질 의약품에도 적용 가능하다는 점은 더욱 주목할 만합니다. 실제로 체중 감량에 사용되는 비만 치료제(GLP-1 호르몬)의 피부 전달 실험 또한 진행 중이며 좋은 효과를 보이고 있다고 합니다. 이는 단순히 당뇨병 치료를 넘어, 주사 투여가 필수적인 수많은 단백질 기반 약물들의 전달 방식을 혁신할 수 있는 가능성을 의미합니다. 가까운 미래에는 당뇨병 환자가 아침에 일어나 연고를 바르거나 패치 한 장을 붙이는 것만으로도 하루 종일 혈당이 안정적으로 조절되는 세상이 열리길 기대해 봅니다.
📌 함께 읽으면 좋은 글
이 놀라운 연구에 대한 원문을 직접 확인하고 싶으시다면 아래 링크를 참고해 주세요.
- A skin-permeable polymer for non-invasive transdermal insulin delivery, Wei et al., 2025, Nature
- 내부 링크: 당뇨병 예방을 위한 생활 습관 가이드
💡 글을 마치며
‘바르는 당뇨 치료제’ 기술 개발 소식을 접하며, 의학 기술의 발전이 우리 삶을 얼마나 더 풍요롭고 편리하게 만들 수 있을지 다시 한번 감탄했습니다. 단순히 약을 개발하는 것을 넘어, 환자들의 고통과 불편함을 이해하고 이를 해소하기 위해 끊임없이 노력하는 과학자들의 열정이 정말 대단하다고 생각합니다. 아직 임상 시험과 같은 많은 단계를 거쳐야 하지만, 이 기술이 언젠가 상용화되어 수많은 당뇨병 환자분들의 일상에 진정한 희망을 가져다주기를 간절히 바랍니다. 매일의 작은 고통이 사라지는 것만으로도, 삶의 큰 행복이 될 수 있으니까요. 이 글을 읽는 모든 분들께도 과학이 선사하는 미래의 희망이 전달되었기를 바랍니다.
2025.12.02 - [경제이야기] - OECD 2026년 한국 경제성장률 2.1% 전망, 주요국과 비교 분석
OECD 2026년 한국 경제성장률 2.1% 전망, 주요국과 비교 분석
OECD 2026년 한국 경제성장률 2.1% 전망, 주요국과 비교 분석안녕하세요, 티스토리 독자 여러분! 매일 아침 경제 뉴스를 챙겨보는 저에게 OECD의 발표는 늘 중요한 이정표와 같습니다. 특히 전 세계가
kaltaelee.com
2025.12.02 - [연예 & 사회] - 쿠팡 개인정보 유출 총정리: 3,370만명 털린 이유와 지금 당장 해야 할 일
쿠팡 개인정보 유출 총정리: 3,370만명 털린 이유와 지금 당장 해야 할 일
쿠팡 개인정보 유출 총정리: 3,370만명 털린 이유와 지금 당장 해야 할 일안녕하세요, 여러분! 저도 쿠팡을 자주 이용하는 한 사람으로서, 최근 들려오는 쿠팡 개인정보 유출 소식에 마음이 편치
kaltaelee.com
2025.12.01 - [경제이야기] - 비트코인 2022년 악몽 재현? 11월 17% 폭락의 3가지 핵심 원인 분석
비트코인 2022년 악몽 재현? 11월 17% 폭락의 3가지 핵심 원인 분석
비트코인11월하락비트코인 2022년 악몽 재현? 11월 17% 폭락의 3가지 핵심 원인 분석안녕하세요, Tistory 독자 여러분. 11월 한 달 동안 비트코인 시장을 지켜보면서, 저는 마치 2022년의 악몽이 재현되
kaltaelee.com
'AI & IT & Engineering' 카테고리의 다른 글
| 테이아, 지구의 이웃이었다 | 45억년 전 거대충돌로 달 탄생한 비밀 (0) | 2025.12.10 |
|---|---|
| 스타링크 한국 4일 출시, 월 8만7000원 정말 쌀까? 스페이스X 저궤도 위성통신 서비스 상세 분석 (1) | 2025.12.03 |
| 누리호 4차 발사 성공! 민간 주도 뉴스페이스 시대 개막의 의미는? (0) | 2025.11.27 |
| 2025년 누리호 4차 발사, 한국 우주산업 역사를 새로 쓰다 – 민간 주도 첫 발사체의 모든 것 (0) | 2025.11.26 |
| 엔비디아 GPU 시대 끝나나? 구글 TPU 7세대 아이언우드 완벽 분석 (0) | 2025.11.26 |